高血脂症是脑卒中发病的危险因素之一,4种起床后的症状,可能提
李先生,46岁,最近几个月他总是感觉很疲惫,起床后手脚发麻,还经常头痛、头晕,但由于这些症状并不严重,他一直以为是工作压力大,没有引起足够的重视。
直到最近一次健康体检,他的血脂水平异常升高,引起了医生的注意,体检医生建议李先生去检查一下脑部血管。

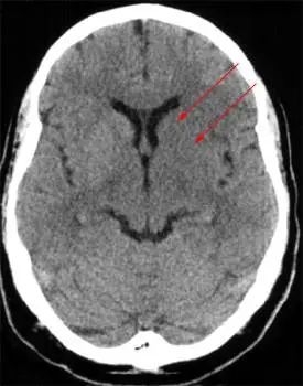
李先生的影像学报告结果显示:左侧豆状核模糊。这是最早及最常见的脑血管堵塞征象之一,见于大脑中动脉梗塞。
对此,脑科专家指出:高血脂在前期通常不会造成明显不适,但会在不知不觉中损害血管健康。李先生的这些症状都是早期脑部血管堵塞的症状,一定要引起重视。
想及时识别血脂偏高,除了要定期体检,还要警惕以下4种起床后的异常症状。
01持续疲惫感

如果明明睡饱了,早上醒来还是觉得又困又没劲,可能要小心是高血脂在作怪。这是因为血脂过高会让血液变得更加黏稠,影响到了全身各个组织器官的供血供氧,从而引起了持续的疲劳感。
02手脚发麻

除了持续疲惫感,起床后手脚发麻也可能是高血脂的信号。因为血脂升高容易损伤血管壁,引发炎症,并对神经系统造成负面影响,干扰神经信号的正常传导。
此外,手脚位于身体末端,血液供应较少。当血脂升高影响血液循环时,手脚更容易因为供血不足而出现麻木感。这两种因素叠加,血脂高的人更容易手脚发麻。
03头晕头痛

如果醒来时经常感到头痛,又不是由于睡眠质量差或其他明显原因引起的,也可能是血脂异常在作祟。
因为血脂过高会影响大脑的血液循环,刚起床时可能会导致大脑短暂性缺血缺氧,从而引发头晕、头痛。
04胸闷气短

如果过多的脂质沉积在血管壁上,容易形成粥样硬化斑块,这些斑块会使血管变得狭窄,影响血液的正常流动。如果影响到心脏的冠状动脉,就会导致心肌供血不足,出现胸闷、呼吸不畅的感觉。特别当人从睡眠的静止状态转变为起床后的活动状态,可能会使心脏的需氧量增加,这种胸闷症状会更明显。
如何降血脂?
不管是高血压还是高血脂,都和生活方式有关,所以调整生活方式非常重要。
01限制甜食
糖可在肝脏中转化为内源性三酸甘油酯,使血浆中三酸甘油酯的浓度增高,所以应限制甜食的摄入。
02少喝酒
酗酒或长期饮酒,可以刺激肝脏合成更多的内源性三酸甘油酯,使血液中低密度脂蛋白的浓度增高引起高胆固醇血症,因此不饮酒更好。
如果饮酒,一定要限制,酒精摄入量男性<25g/天,女性<15g/天。
03戒烟
嗜烟者患心脑血管疾病的发病率和病死率是不吸烟者的2~6倍,且与每日吸烟支数呈正比,可能与嗜烟者(每日吸烟超过20支)血清中总胆固醇及甘油三酯水平升高。
04低盐饮食
食盐摄人量控制在<5g/天。这些食物可以帮助调整血脂:

多吃鱼:推荐多吃含n-3脂肪酸丰富的鱼,比如金枪鱼、鲭鱼、鲑鱼和沙丁鱼等,推荐每周至少1次。
多吃富含纤维的食物:谷物、面包等纤维含量高的食物,能有效降低人体内LDL-C的含量。
为了达到影响胆固醇含量的效果,膳食中的纤维必须达到15~30g,因此可以适当吃一些扁豆、全麦面食、桃干等食物。
多吃大豆制品:豆腐和膨化植物蛋白等大豆制品中,含有一种天然的植物化学物质,叫作异黄酮。研究显示,这种化学物质有助于把危害动脉的LDL-C从人体中清除出去。
摄入足量的维生素C:有研究显示,血液中维生素C含量与人体内HDL-C含量成正比,有助于调节血脂。
除了养成良好的饮食习惯,还应坚持长期运动锻炼,方可使体内的总胆固醇和甘油三酯水平下降,尤其是运动锻炼,能促进维持体内血脂平衡。
1、对于有减脂需求的人,建议一周进行五次以上无氧运动,每次运动时长为10~20分钟;
2、对于有塑形需求的人,可以将无氧运动时间增加至30分钟左右;
3、老年人可适当延长热身运动和拉伸运动的时间,每次运动的总时长应控制在60分钟左右,以不超过90分钟为宜。
















